*Arquivo de Silvana Forster
Eu já tinha entregue meu texto da coluna desta semana, mas diante do pronunciamento do nosso novo Ministro da Educação, banalizando a violência contra a criança e orientando pais e mães a usarem do castigo físico e da dor para disciplinar, senti que precisava me pronunciar também.
Confesso que nunca gostei de política, assim como muitas pessoas, por acreditar que não tenho poder, por parecer chato, por não ver de que maneira poderia influenciar e, agora, estou aqui, escrevendo esse texto. Depois que nos tornamos pais e percebemos a grande responsabilidade que temos na construção do mundo que nossos filhos irão viver e, principalmente, na construção do caráter dos seres humanos que viverão nesse mundo, percebemos que ter um filho é um ato político.

No momento em que organizamos resistência para que as mães possam amamentar seus filhos em público, estamos fazendo política. Quando defendemos que os pais tenham licença paternidade por mais tempo, estamos fazendo política. Uma mudança política no mundo começa com a mudança na política da nossa casa, nos relacionamentos que temos no lar, a partir da consciência em criar e educar nossos filhos. Falamos tanto em novos tempos, em uma nova sociedade, mais justa, empática, onde não há violência e o amor prevaleça. Esse me parece ser o desejo de muitas pessoas e a construção dessa sociedade começa dentro de nossas casas. Você consegue imaginar que tipo de pessoas estamos criando à base da violência? E aqui entra a violência física e a emocional.
Usar de medo, culpa e vergonha para educar pode até dar certo a curto prazo, mas gera danos à saúde emocional da criança e das suas relações, refletindo na sociedade quando essa criança for adulta. Uma criança educada assim será um adulto reprimido, submisso, que não tem responsabilidade sobre seus atos. Ela vive na obediência cega, por medo e vergonha, que constrói uma sociedade como temos hoje. Educar com violência é trabalhar para manter nossa sociedade como está, já que cria pessoas que não criticam, não questionam, não têm voz, se sentem incapazes, se calam e obedecem cegamente, ou seja, são mais facilmente coagidas por quem está no poder. Além de gerar adultos violentos, já que uma das consequências mais comuns do castigo físico a longo prazo é a tendência a agressão.
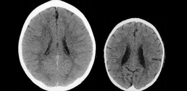
Existem muitas pesquisas, estudos de profissionais renomados que provam os danos que a violência na criação gera (como Daniel Goleman, George Holden, Daniel Siegel) e ainda provam como afeta o desenvolvido neurológico. O livro “Crianças Dinamarquesas” cita resultados de algumas pesquisas: “as crianças que apanham podem se sentir deprimidas ou desvalorizadas e ter autoestima prejudicada. Surras acabam saindo pela culatra, pois estimulam a criança a mentir, no desespero de evitá-las. O castigo físico está relacionado a problemas de saúde mental na vida adulta, incluindo depressão, ansiedade, uso de drogas e alcoolismo. Há evidências por neuroimagem de que pode afetar as regiões do cérebro relacionadas ao desempenho em testes de Q.I. e existem dados que sugerem que pode afetar regiões do cérebro relacionadas ao controle do estresse e das emoções”.

Estamos todos fazendo marchas com campanhas contra a violência à mulher, contra pretos*, contra homossexuais, contra os animais; por que a violência contra a criança continua banalizada? Chegou a hora de levantarmos a bandeira defendendo as crianças, elas não têm condições de fazer isso sozinhas. A disciplina pode vir sim, acompanhada de amor e compreensão, mas precisamos estudar pra isso, dedicar tempo à educação dos nossos filhos.
Por fim, quero destacar ainda que muitas religiões se baseiam em passagens do Velho Testamento, para considerarem a vara como um método justo de disciplina, mas gostaria de lembrar que Jesus veio depois disso, ensinar o amor. O amor foi Seu maior ensinamento, Ele nunca incentivou a violência, precisamos lembrar disso. Violência e amor podem até estar presentes no mesmo livro sagrado, mas estão longe de ser sinônimos.
*usei a palavra “pretos” em respeito aos movimentos antirracistas, onde eles argumentam que a palavra “negro” representa coisas ruins, então preferem ser chamados de pretos.
*Conteúdo produzido por Silvana Forster, mãe do Matteo e do Tomás, esposa do Samuel, publicitária como primeira formação e mãe por atuação. Coach de Família, com seus artigos e atendimentos busca levar mais clareza às necessidades de cada integrante da família, ressignificar acontecimentos, melhorar a comunicação entre pais e filhos e ajudar a gerar um ambiente de paz, amor, aconchego, carinho, diálogo e harmonia no lar de cada pessoa.
Silvana foi colunista do Drops entre abril de 2019 e julho de 2020.